Bienvenidos a Panoscan 3d
Imágenes Dentales 3D
Explora la Vanguardia en Radiología Dental con Nuestras Imágenes Dentales 3D.
Radiografías 100% Digitales
Escoge la que necesites
Panorámica
Radiografía que facilita la visualización de ambos maxilares junto con sus respectivas piezas dentales.
Lateral
La Radiografía Lateral de Cráneo permite realizar mediciones faciales de todo tipo.
Bitewing
La Radiografía Dental ofrece una visión detallada para la detección de caries interproximales.
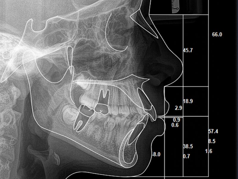
Análisis Cefalométrico
Evaluación computarizada facial con mediciones de puntos craneométricos.
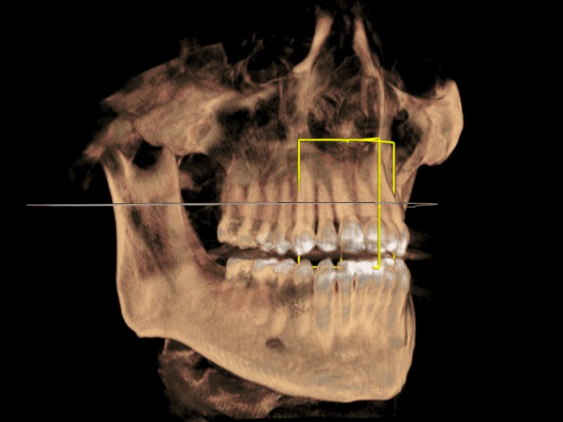
Cone Beam por Pieza
Proporciona una visualización tridimensional de las estructuras dentales.
Cone Beam Completo
Escáner completo de cráneo.
Scanner Intraoral
Escanea el interior de la cavidad bucal y es recreada en formato digital 3D..
Descarga tus Resultados
Haz clic, ingresa tus datos de acceso al portal y descarga tus exámenes
